
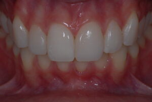
O sorriso harmônico e luminoso é o melhor cartão de visita.

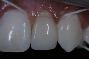
Quem apresenta este tipo de situação, apresenta o dente em formato cônico e pequeno, se queixando que o sorriso juvenil.

Neste tratamento é melhorado o formato e contorno dental, sem realizar desgaste.

Ortodontia com alinhadores estéticos.